Acadêmicos de Medicina
Anestesia
Angiologia
Cardiologia
Clínica Médica
COVID-19
Enfermagem
Manejo do Paciente Crítico
Manejo do Sangramento
Odontologia
Oftalmologia
Pediatria
Pneumologia
Psicologia Médica
Radiologia
Terapia Intensiva
Fraturas patológicas: o que o radiologista precisa saber.
Radiomics, você sabe o que é isso?
O que mostram os estudos iniciais sobre a Hidrocloroquina?
Precauções na abordagem da via aérea
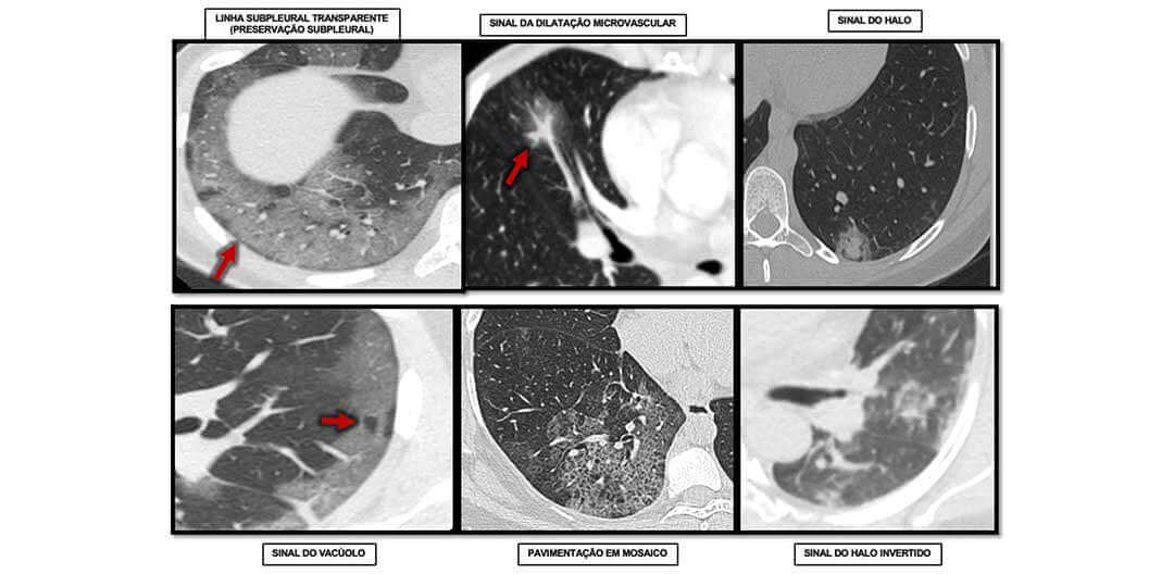
Sinais radiológicos na COVID-19: Existem?
Estudo sugere que tomografia computadorizada é melhor que teste de laboratório para diagnosticar COVID-19
Especialistas reafirmam a segurança no uso de contraste na Tomografia Computadorizada
A inteligência artificial pode diferenciar pequenas massas renais na TC
Qual o papel do radiologista na disseminação perineural no adenocarcinoma de pâncreas
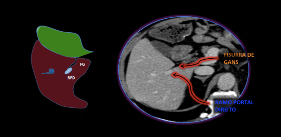
FISSURA DE GANS: Um reparo antômico esquecido pelo radiologista?